Medical

Before

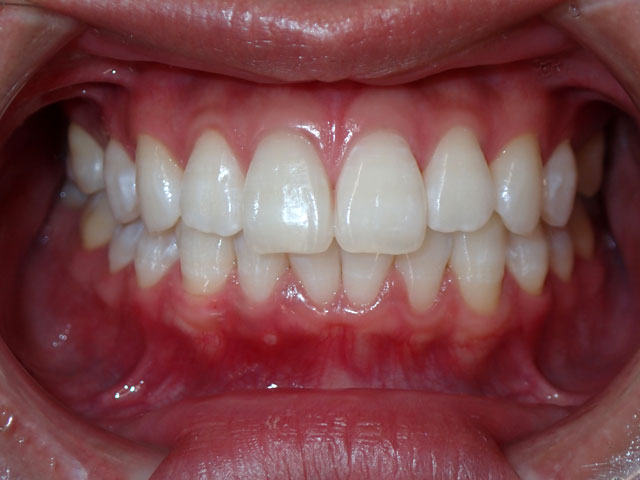
After
※掲載している治療費用は、治療当時の価格を参考として記載しております。物価や材料費等の変動により、現在の治療費用と異なる場合がございます。
最新の料金につきましては、料金表ページをご覧いただくか、スタッフまでお気軽にお尋ねください。
| 1顎トレー | 5,500円 |
| ホワイトニングジェル4本 | 16,500円 |
| 合計 | 22,000円 |
インプラント|CR修復|ホワイトニング|トゥースクリーニング|矯正治療|前歯の審美治療|メラニン色素除去|歯周病治療|かぶせもの治療|金属アレルギー|ウォーキングブリーチ|歯根肉芽腫(しこんにくげしゅ)|その他の治療
診療予約専用フリーダイヤル
| 診療時間 | 月 | 火 | 水 | 木 | 金 | 土 | 日 |
| 8:30~12:30 | ● | ● | ● | / | ● | ● | / |
| 15:00~18:30 | ● | ● | ● | / | ● | ● | / |
※休診日/木・日曜・祝日