Medical
下顎が細いので、顎の大きさに対して歯の横幅サイズの合計が大きい。このままでは並びきらないので、歯のサイズを計測して1本の歯を抜きました。
歯を抜いたスペースに周りの歯を歯の角度なども考えて移動させます。抜歯後ブラケット(歯に移動するための器具)を取付けてから移動終了までにかかった期間は約10ヶ月です。

Before

Before

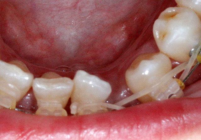
Step1

Step1

After

After
※掲載している治療費用は、治療当時の価格を参考として記載しております。物価や材料費等の変動により、現在の治療費用と異なる場合がございます。
最新の料金につきましては、料金表ページをご覧いただくか、スタッフまでお気軽にお尋ねください。
| 自由診療(保険外診療)矯正治療費 | 550,000円 |
| 治療期間 | 約10ヶ月間 |
※矯正の状態を保つのに3ヶ月に1回程度のメンテナンスが必要になります。
インプラント|CR修復|ホワイトニング|トゥースクリーニング|矯正治療|前歯の審美治療|メラニン色素除去|歯周病治療|かぶせもの治療|金属アレルギー|ウォーキングブリーチ|歯根肉芽腫(しこんにくげしゅ)|その他の治療
診療予約専用フリーダイヤル
| 診療時間 | 月 | 火 | 水 | 木 | 金 | 土 | 日 |
| 8:30~12:30 | ● | ● | ● | / | ● | ● | / |
| 15:00~18:30 | ● | ● | ● | / | ● | ● | / |
※休診日/木・日曜・祝日