Medical

Before

Step1
顎間固定装置を装着(歯列に針金をつけ上下にゴムをかけてかみ合わせを治す装置)

Step2
上下の歯のかみ合わせが治りました。

Step3
歯の大きさに対し顎が小さいため前歯がデコボコです。歯弓拡大装置を装着し顎を左右に拡大します。

Step4
顎が拡大し歯を移動するスペースができました。

Step5
各歯にブラケットを取り付け正しい位置に歯を並べます。

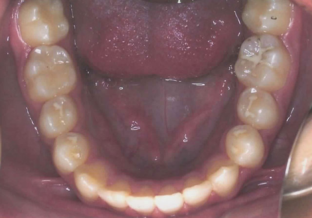
Step6

Step6

Step6

After

After

After
※掲載している治療費用は、治療当時の価格を参考として記載しております。物価や材料費等の変動により、現在の治療費用と異なる場合がございます。
最新の料金につきましては、料金表ページをご覧いただくか、スタッフまでお気軽にお尋ねください。
| 自由診療(保険外診療)矯正治療費 | 660,000円 |
※矯正の状態を保つのに3ヶ月に1回程度のメンテナンスが必要になります。
インプラント|CR修復|ホワイトニング|トゥースクリーニング|矯正治療|前歯の審美治療|メラニン色素除去|歯周病治療|かぶせもの治療|金属アレルギー|ウォーキングブリーチ|歯根肉芽腫(しこんにくげしゅ)|その他の治療
診療予約専用フリーダイヤル
| 診療時間 | 月 | 火 | 水 | 木 | 金 | 土 | 日 |
| 8:30~12:30 | ● | ● | ● | / | ● | ● | / |
| 15:00~18:30 | ● | ● | ● | / | ● | ● | / |
※休診日/木・日曜・祝日