Word
歯周病は、痛みや自覚症状がほとんどないまま進行する病気です。
そのため気づいたときには、すでに後戻りできない段階に入っていることも少なくありません。
まさに歯周病は、口の中に潜む「サイレントキラー(静かな殺し屋)」なのです。
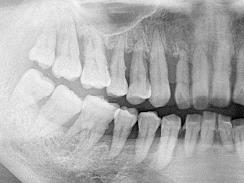
歯周病を10年間放置すると、歯ぐきの腫れや出血だけでは済みません。
歯を支える歯槽骨が静かに溶け続ける
歯はグラグラと動揺し、噛む力を失う
最終的には自然脱落、もしくは抜歯を避けられない状態に至る

35歳の時

45歳の時
怖いのは、この過程の多くが「ほぼ無痛」で進むという事実です。
「まだ大丈夫」「忙しいから後で」その油断の積み重ねが、10年後に取り返しのつかない結果を招きます。
歯周病菌は、歯ぐきの炎症部位から血管内に侵入し、全身に影響を及ぼします。
糖尿病の悪化
心筋梗塞・脳梗塞のリスク増加
誤嚥性肺炎
妊娠中の早産・低体重児出産
歯周病は、単なる口腔トラブルではなく、全身疾患の引き金となる病気なのです。
歯周病が恐ろしい理由は、次の3点に集約されます。
気づかせない(初期症状が乏しい)
止まらない(自然治癒しない)
元に戻らない(失われた骨は基本的に再生しない)
この3拍子が揃っているからこそ、歯周病は「歯周病キラー」と呼ばれるにふさわしい存在なのです。
少々辛口に言えば、何もしないこと自体が、最悪の選択になります。
歯周病は、早期発見・早期治療であれば、進行を食い止めることが可能です。
正しいブラッシング指導
歯科医院での定期的な歯周検査
専門的な歯周病治療
これらを適切なタイミングで行うことで、「失う未来」ではなく「守れる未来」を選ぶことができます。
歯周病は、静かに忍び寄り、確実に歯と健康を奪います。
しかし、
気づいた今が、まだ間に合う最後のタイミングかもしれません。
歯周病キラーに、これ以上主導権を渡さないために。
まずは現状を知ることから、始めてみませんか。
(少し怖い表現もありますが、歯周病はそれほどまでに静かで危険な病気です。ユーモアを挟むなら、「痛くないから安心、は歯周病の思うツボ」この一言に尽きます。)
診療予約専用フリーダイヤル
| 診療時間 | 月 | 火 | 水 | 木 | 金 | 土 | 日 |
| 8:30~12:30 | ● | ● | ● | / | ● | ● | / |
| 15:00~18:30 | ● | ● | ● | / | ● | ● | / |
※休診日/木・日曜・祝日